吉村矯正歯科の症例紹介|大阪・豊中・吹田の矯正歯科

大阪府箕面市船場西2-7-5 シーモア千里ビル3F

症例紹介 CASE

症例紹介

  • マウスピース矯正

  • 裏側矯正(舌側矯正)

マウスピース矯正

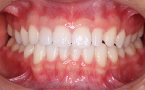
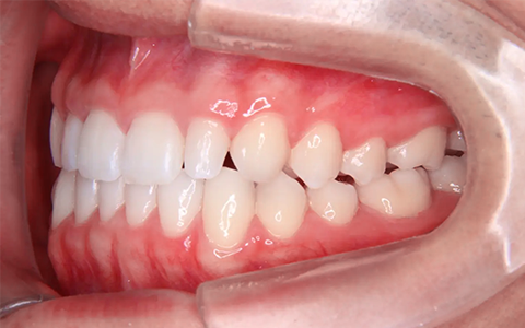
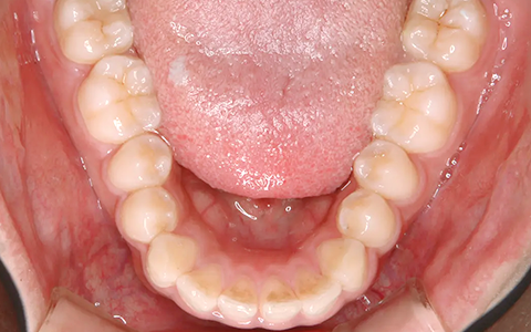
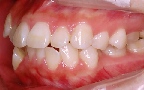
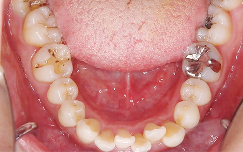
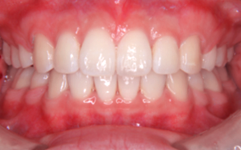
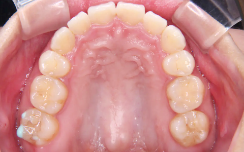
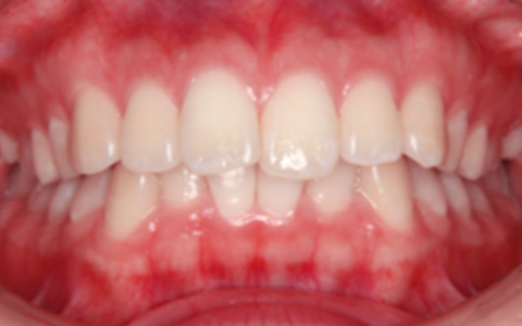
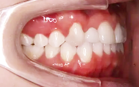
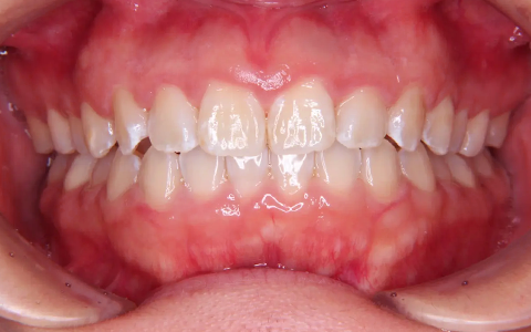
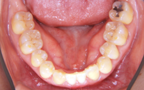
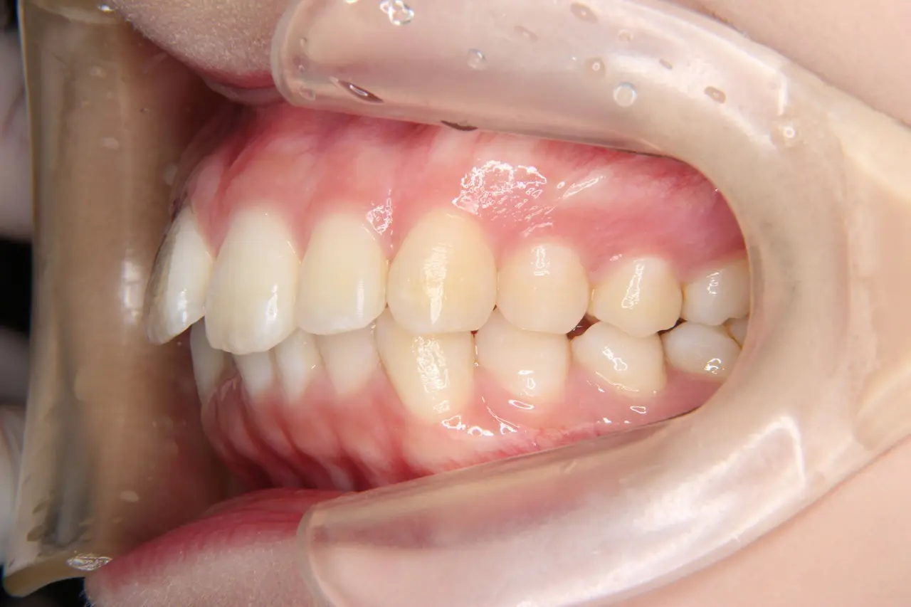
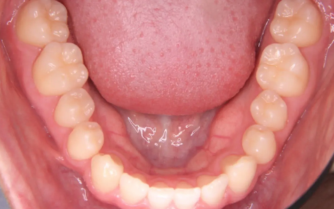
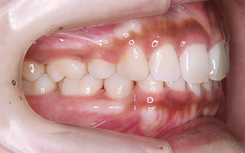
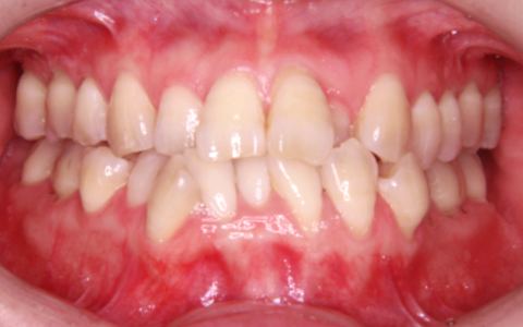
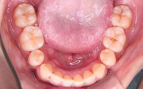
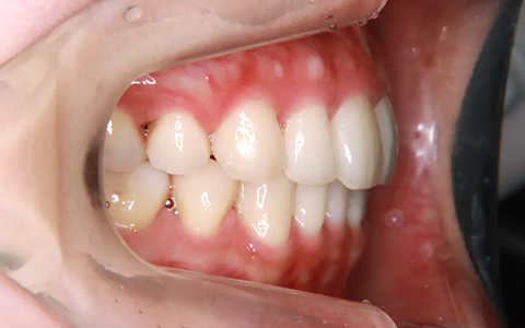
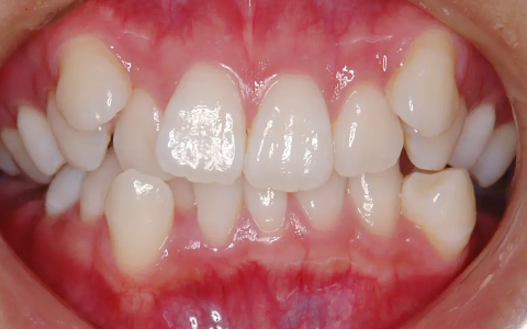
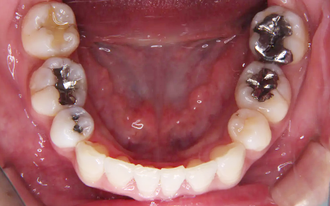
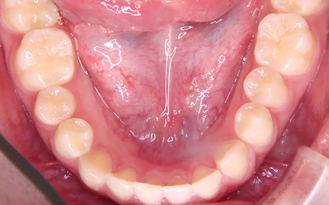
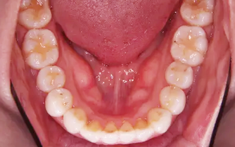
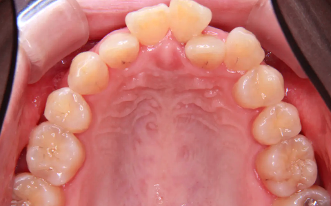
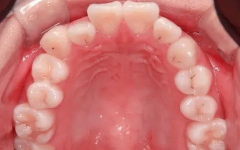
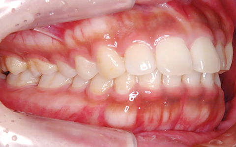
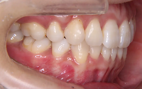
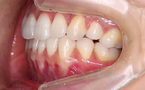
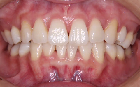
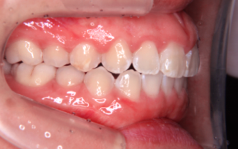
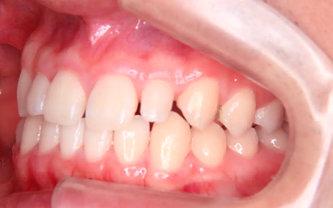
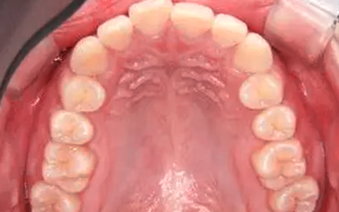
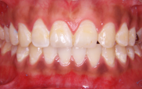
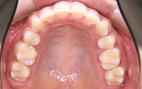
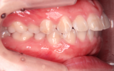
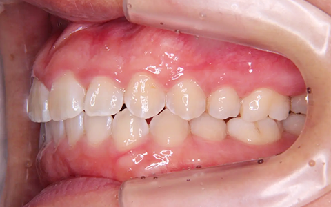
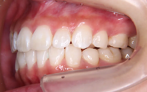
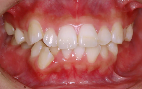
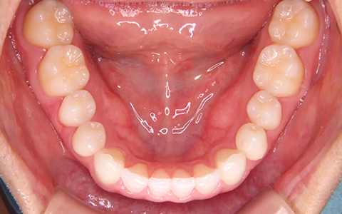
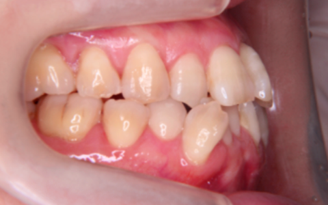
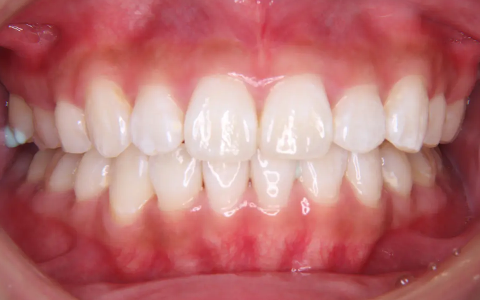
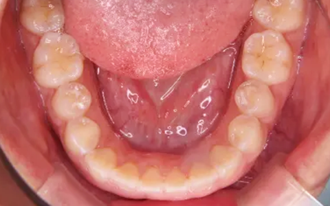
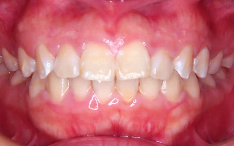
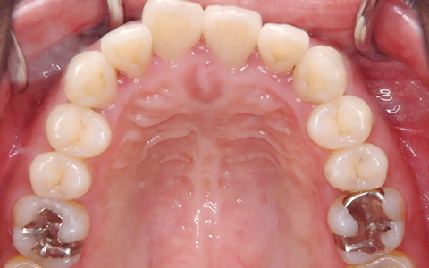
前歯が前に出ている(上顎前突)の治療例

Before

After

Before

After

Before

After

Before

After

Before

After

施術内容 マウスピース矯正(インビザライン)
※歯を抜いて治療した例となります。
治療期間 3年
費用 693,000円
※施術当時の治療費となります。
リスク・副作用 矯正治療中に歯みがきなどのセルフケアを怠ると、むし歯や歯周病のリスクが高くなります。装置の装着時間を守らない場合、歯が計画通りに動かず、治療期間が延びることがあります。
治療が完了した後は、後戻りを防ぐために保定装置(リテーナー)を装着します。正しく使用しないと、再び歯が動き、再治療が必要になることがあります。また、歯と顎のバランスによっては、歯をわずかに削る場合があります(削る量には個人差があります)。まれに歯の根が短くなることもあります。装置の装着後には、歯が動く際の一時的な痛みを感じる場合がありますが、通常は数日で治まります。
さらに、頬の内側や唇、舌などに口内炎ができることがあります。歯周病などで歯ぐきが下がっているかたは、矯正治療によりさらに歯ぐきが下がる可能性があります。重なっていた歯が整うことで、歯と歯ぐきの間に三角形の隙間ができることもあります。

※表示金額は全て税込みです。

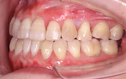
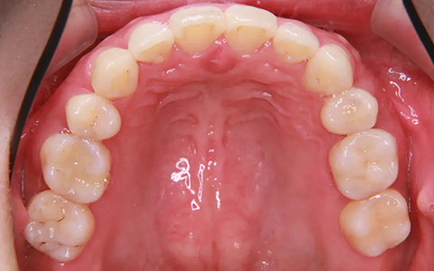
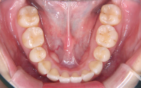
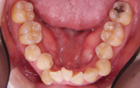
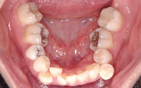
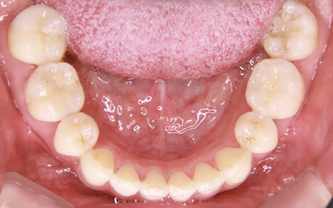
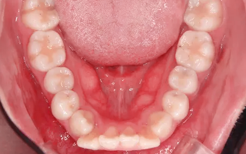
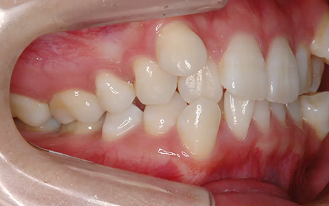
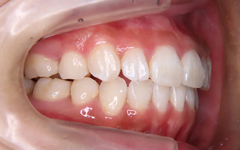
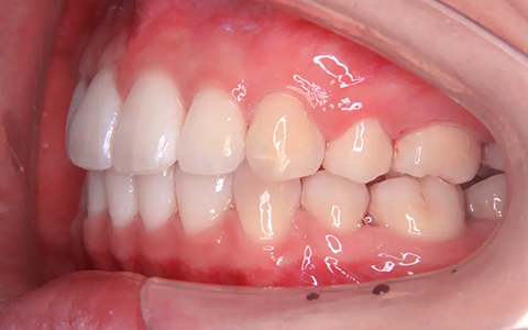
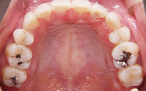
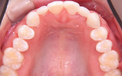
上と下の歯ががたがた(叢生)の治療例

Before

After

Before

After

Before

After

Before

After

Before

After

施術内容 マウスピース矯正(インビザライン)
※歯を抜いて治療した例となります。
治療期間 2年9ヵ月
費用 693,000円
※施術当時の治療費となります。
リスク・副作用 矯正治療中に歯みがきなどのセルフケアを怠ると、むし歯や歯周病のリスクが高くなります。装置の装着時間を守らない場合、歯が計画通りに動かず、治療期間が延びることがあります。
治療が完了した後は、後戻りを防ぐために保定装置(リテーナー)を装着します。正しく使用しないと、再び歯が動き、再治療が必要になることがあります。また、歯と顎のバランスによっては、歯をわずかに削る場合があります(削る量には個人差があります)。まれに歯の根が短くなることもあります。装置の装着後には、歯が動く際の一時的な痛みを感じる場合がありますが、通常は数日で治まります。
さらに、頬の内側や唇、舌などに口内炎ができることがあります。歯周病などで歯ぐきが下がっているかたは、矯正治療によりさらに歯ぐきが下がる可能性があります。重なっていた歯が整うことで、歯と歯ぐきの間に三角形の隙間ができることもあります。

※表示金額は全て税込みです。

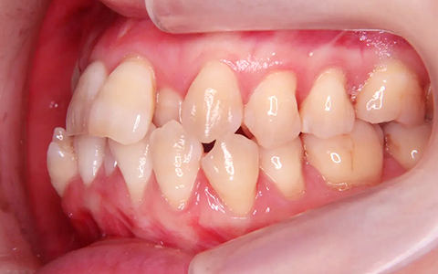
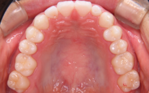
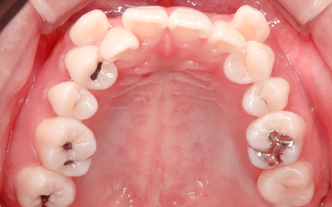
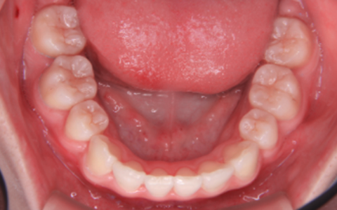
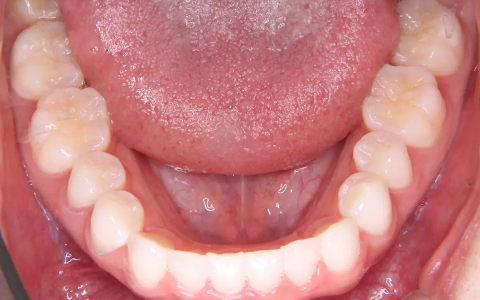
口が開いている状態(開咬)の治療例

Before

After

Before

After

Before

After

Before

After

Before

After

施術内容 マウスピース矯正(インビザライン)
治療期間 2年2ヵ月
費用 693,000円
※施術当時の治療費となります。
リスク・副作用 矯正治療中に歯みがきなどのセルフケアを怠ると、むし歯や歯周病のリスクが高くなります。装置の装着時間を守らない場合、歯が計画通りに動かず、治療期間が延びることがあります。
治療が完了した後は、後戻りを防ぐために保定装置(リテーナー)を装着します。正しく使用しないと、再び歯が動き、再治療が必要になることがあります。また、歯と顎のバランスによっては、歯をわずかに削る場合があります(削る量には個人差があります)。まれに歯の根が短くなることもあります。装置の装着後には、歯が動く際の一時的な痛みを感じる場合がありますが、通常は数日で治まります。
さらに、頬の内側や唇、舌などに口内炎ができることがあります。歯周病などで歯ぐきが下がっているかたは、矯正治療によりさらに歯ぐきが下がる可能性があります。重なっていた歯が整うことで、歯と歯ぐきの間に三角形の隙間ができることもあります。

※表示金額は全て税込みです。

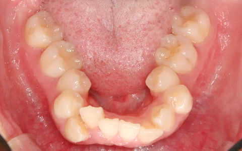
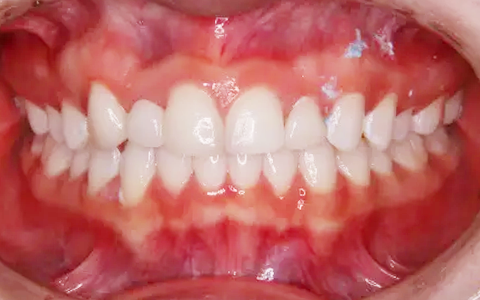
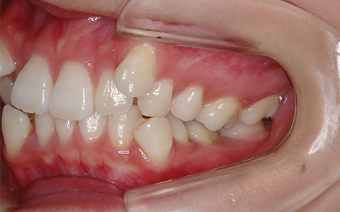
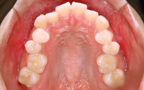
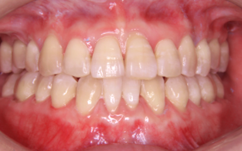
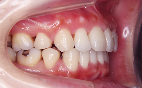
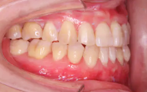
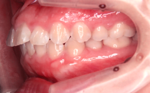
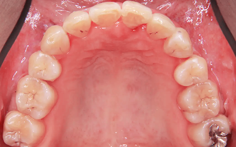
下の歯が前に出ている(下顎前突)の治療例

Before

After

Before

After

Before

After

Before

After

Before

After

施術内容 マウスピース矯正(インビザライン)
治療期間 8ヵ月
費用 693,000円
※施術当時の治療費となります。
リスク・副作用 矯正治療中に歯みがきなどのセルフケアを怠ると、むし歯や歯周病のリスクが高くなります。装置の装着時間を守らない場合、歯が計画通りに動かず、治療期間が延びることがあります。
治療が完了した後は、後戻りを防ぐために保定装置(リテーナー)を装着します。正しく使用しないと、再び歯が動き、再治療が必要になることがあります。また、歯と顎のバランスによっては、歯をわずかに削る場合があります(削る量には個人差があります)。まれに歯の根が短くなることもあります。装置の装着後には、歯が動く際の一時的な痛みを感じる場合がありますが、通常は数日で治まります。
さらに、頬の内側や唇、舌などに口内炎ができることがあります。歯周病などで歯ぐきが下がっているかたは、矯正治療によりさらに歯ぐきが下がる可能性があります。重なっていた歯が整うことで、歯と歯ぐきの間に三角形の隙間ができることもあります。

※表示金額は全て税込みです。

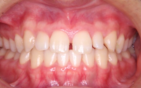
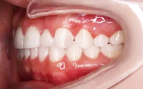
すきっ歯の治療例

Before

After

Before

After

Before

After

Before

After

Before

After

施術内容 マウスピース矯正(インビザライン)
治療期間 1年1ヵ月
費用 693,000円
※施術当時の治療費となります。
リスク・副作用 矯正治療中に歯みがきなどのセルフケアを怠ると、むし歯や歯周病のリスクが高くなります。装置の装着時間を守らない場合、歯が計画通りに動かず、治療期間が延びることがあります。
治療が完了した後は、後戻りを防ぐために保定装置(リテーナー)を装着します。正しく使用しないと、再び歯が動き、再治療が必要になることがあります。また、歯と顎のバランスによっては、歯をわずかに削る場合があります(削る量には個人差があります)。まれに歯の根が短くなることもあります。装置の装着後には、歯が動く際の一時的な痛みを感じる場合がありますが、通常は数日で治まります。
さらに、頬の内側や唇、舌などに口内炎ができることがあります。歯周病などで歯ぐきが下がっているかたは、矯正治療によりさらに歯ぐきが下がる可能性があります。重なっていた歯が整うことで、歯と歯ぐきの間に三角形の隙間ができることもあります。

※表示金額は全て税込みです。

前歯が前に出ている(上顎前突)の治療例

Before

After

Before

After

Before

After

Before

After

Before

After

施術内容 マウスピース矯正(インビザライン)
治療期間 1年3ヵ月
費用 693,000円
※施術当時の治療費となります。
リスク・副作用 矯正治療中に歯みがきなどのセルフケアを怠ると、むし歯や歯周病のリスクが高くなります。装置の装着時間を守らない場合、歯が計画通りに動かず、治療期間が延びることがあります。
治療が完了した後は、後戻りを防ぐために保定装置(リテーナー)を装着します。正しく使用しないと、再び歯が動き、再治療が必要になることがあります。また、歯と顎のバランスによっては、歯をわずかに削る場合があります(削る量には個人差があります)。まれに歯の根が短くなることもあります。装置の装着後には、歯が動く際の一時的な痛みを感じる場合がありますが、通常は数日で治まります。
さらに、頬の内側や唇、舌などに口内炎ができることがあります。歯周病などで歯ぐきが下がっているかたは、矯正治療によりさらに歯ぐきが下がる可能性があります。重なっていた歯が整うことで、歯と歯ぐきの間に三角形の隙間ができることもあります。

※表示金額は全て税込みです。

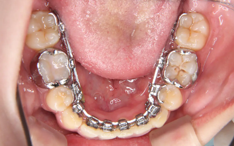
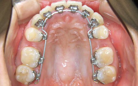
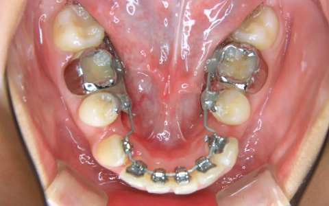
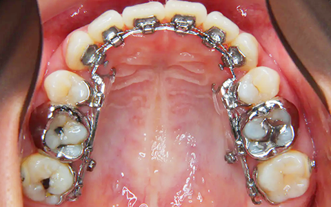
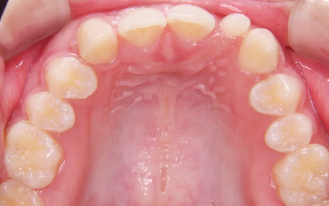
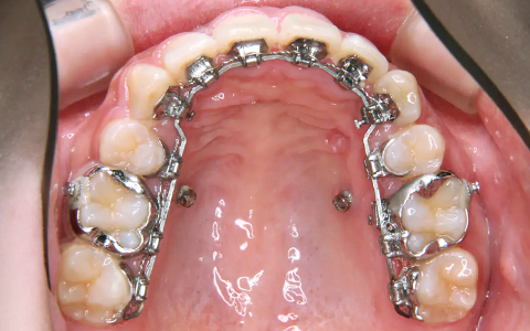
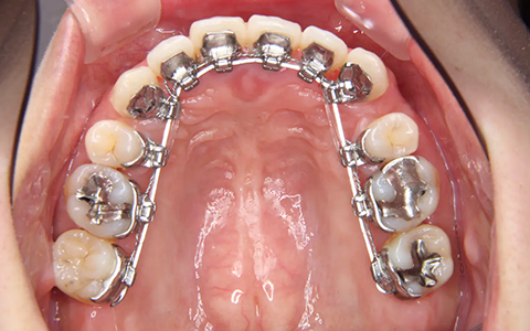
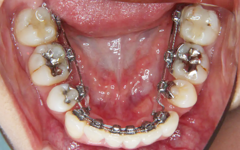
裏側矯正(舌側矯正)

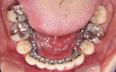
前歯が前に出ている(上顎前突)の裏側矯正での治療例

Before

After

Before

After

Before

After

Before

After

Before

After

施術内容 裏側矯正
※歯を抜いて治療した例となります。
治療期間 3年
費用 1,200,000円
※施術当時の治療費となります。
リスク・副作用 矯正治療中に歯みがきなどのセルフケアを怠ると、むし歯や歯周病のリスクが高くなります。装置の装着時間を守らない場合、歯が計画通りに動かず、治療期間が延びることがあります。
治療が完了した後は、後戻りを防ぐために保定装置(リテーナー)を装着します。正しく使用しないと、再び歯が動き、再治療が必要になることがあります。また、歯と顎のバランスによっては、歯をわずかに削る場合があります(削る量には個人差があります)。まれに歯の根が短くなることもあります。装置の装着後には、歯が動く際の一時的な痛みを感じる場合がありますが、通常は数日で治まります。
さらに、頬の内側や唇、舌などに口内炎ができることがあります。歯周病などで歯ぐきが下がっているかたは、矯正治療によりさらに歯ぐきが下がる可能性があります。重なっていた歯が整うことで、歯と歯ぐきの間に三角形の隙間ができることもあります。

※表示金額は全て税込みです。

前歯が前に出ている(上顎前突)の裏側矯正での治療例

Before

After

Before

After

Before

After

Before

After

Before

After

施術内容 裏側矯正
※歯を抜いて治療した例となります。
治療期間 3年
費用 1,200,000円
※施術当時の治療費となります。
リスク・副作用 矯正治療中に歯みがきなどのセルフケアを怠ると、むし歯や歯周病のリスクが高くなります。装置の装着時間を守らない場合、歯が計画通りに動かず、治療期間が延びることがあります。
治療が完了した後は、後戻りを防ぐために保定装置(リテーナー)を装着します。正しく使用しないと、再び歯が動き、再治療が必要になることがあります。また、歯と顎のバランスによっては、歯をわずかに削る場合があります(削る量には個人差があります)。まれに歯の根が短くなることもあります。装置の装着後には、歯が動く際の一時的な痛みを感じる場合がありますが、通常は数日で治まります。
さらに、頬の内側や唇、舌などに口内炎ができることがあります。歯周病などで歯ぐきが下がっているかたは、矯正治療によりさらに歯ぐきが下がる可能性があります。重なっていた歯が整うことで、歯と歯ぐきの間に三角形の隙間ができることもあります。

※表示金額は全て税込みです。

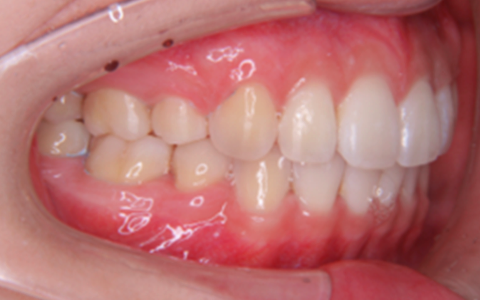
歯並びが悪い状態(叢生)の裏側矯正での治療例

Before

After

Before

After

Before

After

Before

After

Before

After

Before

After

Before

After

Before

After

施術内容 裏側矯正
※歯を抜いて治療した例となります。
治療期間 3年
費用 1,200,000円
※施術当時の治療費となります。
リスク・副作用 矯正治療中に歯みがきなどのセルフケアを怠ると、むし歯や歯周病のリスクが高くなります。装置の装着時間を守らない場合、歯が計画通りに動かず、治療期間が延びることがあります。
治療が完了した後は、後戻りを防ぐために保定装置(リテーナー)を装着します。正しく使用しないと、再び歯が動き、再治療が必要になることがあります。また、歯と顎のバランスによっては、歯をわずかに削る場合があります(削る量には個人差があります)。まれに歯の根が短くなることもあります。装置の装着後には、歯が動く際の一時的な痛みを感じる場合がありますが、通常は数日で治まります。
さらに、頬の内側や唇、舌などに口内炎ができることがあります。歯周病などで歯ぐきが下がっているかたは、矯正治療によりさらに歯ぐきが下がる可能性があります。重なっていた歯が整うことで、歯と歯ぐきの間に三角形の隙間ができることもあります。

※表示金額は全て税込みです。

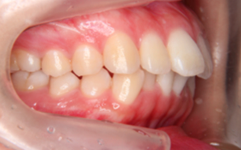
上の歯が前に出ている・歯並びが悪い状態の裏側矯正での治療例

Before

After

Before

After

Before

After

Before

After

Before

After

Before

After

Before

After

施術内容 裏側矯正
※歯を抜いて治療した例となります。
治療期間 3年
費用 1,200,000円
※施術当時の治療費となります。
リスク・副作用 矯正治療中に歯みがきなどのセルフケアを怠ると、むし歯や歯周病のリスクが高くなります。装置の装着時間を守らない場合、歯が計画通りに動かず、治療期間が延びることがあります。
治療が完了した後は、後戻りを防ぐために保定装置(リテーナー)を装着します。正しく使用しないと、再び歯が動き、再治療が必要になることがあります。また、歯と顎のバランスによっては、歯をわずかに削る場合があります(削る量には個人差があります)。まれに歯の根が短くなることもあります。装置の装着後には、歯が動く際の一時的な痛みを感じる場合がありますが、通常は数日で治まります。
さらに、頬の内側や唇、舌などに口内炎ができることがあります。歯周病などで歯ぐきが下がっているかたは、矯正治療によりさらに歯ぐきが下がる可能性があります。重なっていた歯が整うことで、歯と歯ぐきの間に三角形の隙間ができることもあります。

※表示金額は全て税込みです。